一般社団法人 呼吸研究 RESPIRATION.JP|雑誌「呼吸」by Respiration Research Foundation 


最新号 3巻2号



~~今月の論文(『呼吸』バックナンバーより)~~

呼吸 27(11):1049―1057,2008
解説臨 床
      Birt-Hogg-Dubé症候群
      ―遺伝子異常が明らかにされた肺嚢胞―
要旨  Birt-Hogg-Dubé(BHD)症候群は,1977年に報告された常染色体優性遺伝性皮膚疾患である。fibrofolliculoma と呼ばれる小丘疹を多発し,腎腫瘍,気胸あるいは肺嚢胞の合併を特徴としている。2001 年,BHD症候群の責任遺伝子が17p11.2に同定された。BHD遺伝子は癌抑制遺伝子として機能し,folliculin(FLCN)と名付けられた蛋白質をコードしている。近年,“肺症状”のみのBHD症候群も報告され,家族性気胸,反復性自然気胸や多発性肺嚢胞の原因遺伝子として注目されつつある。BHD症候群の“肺症状”は,呼吸不全への進行はなく,予後は良好である。しかし,BHD症候群では,腎腫瘍のリスクに加え,他臓器の腫瘍合併のリスクが報告されており,早期発見による定期的な検診が必要になる。BHD症候群の臓器症状のなかでは肺は最も早期から認められる可能性があり,呼吸器科医の診断に果たす役割は大きい。


キーワード: 遺伝性嚢胞性肺疾患  自然気胸  腎腫瘍  folliculin(FLCN)  fibrofolliculoma
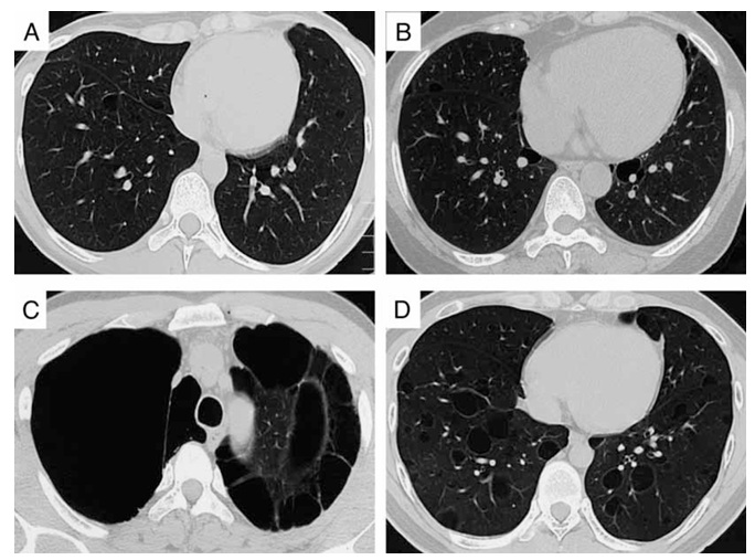
               図4 BHD症候群の胸部CT画像                
A:反復する気胸を契機にBHD症候群と診断された30歳,女性
B:症例Aの56歳の母(症例B)。気胸の既往はないが,症例Aの診断を契機に診断されたBHD症候群。症例Aと同じBHD遺伝子異常を認め,
  胸部CT上も症例Aと類似した多発性肺嚢胞を呈する。
C:BHD症候群ではない38歳,男性。反復する気胸の既往を認め,嚢胞数も17と少ないが,嚢胞は大きく,上肺野優位に認められた。
D:BHD症候群ではない30歳,男性。気胸の既往歴はないが,全肺野に多発性肺嚢胞を呈する。
            (Gunji Y, et al10). J Med Genet 44(9 ):2007 より修正して引用)
 
 

~~肺嚢胞は,しばしば気胸を合併するため臨床的関心をひかれるが,その発生原因や形成機序についてはあまり注目されていなかった。~~
~~2005年,気胸の家族歴のある12家系中2家系でBHD遺伝子異常が発見され9),2007年,筆者らは原因不明の多発性肺嚢胞や自然気胸を繰り返す患者にBHD遺伝子異常が検出されることを報告した10)。~~
~~BHD症候群の内臓疾患の合併を大規模に検討(33家系223人)したところ,有意に罹患率が高くなる合併症は腎腫瘍と自然気胸であることが認められた20)。現在では,fibrofolliculoma とともに腎腫瘍,気胸あるいは肺嚢胞の合併がBHD症候群の特徴とされている。~~
~~BHD症候群は,通常より約7倍の腎腫瘍のリスクがあり,気胸のリスクは一般の約50倍とされている。~~
~~筆者らの報告した5症例の肺症状のみのBHD症候群の胸部CTでも,嚢胞は両肺底部優位で縦隔側に多く,嚢胞の中,あるいは嚢胞に近接するように血管を認めることが特徴であると考えられた10)。また前述した通り,嚢胞数は 100〜200と比較的少ない症例が多かった(図4A〜D)。~~



本論文のPDFを閲覧する


What's News /お知らせ
2025.10.16 “ほっと『ひと呼吸』”に「源氏物語とゆかりの植物 ⑤ 女郎花(オミナエシ)」を掲載しました。
2025.8.07 “ほっと『ひと呼吸』”に 能登北部呼吸器疾患センター センター長のささやき 第16話~第17話(最終回)を掲載しました。
2025.8.05 “ほっと『ひと呼吸』”に 能登北部呼吸器疾患センター センター長のささやき 第14話~第15話を掲載しました。
2025.7.31 “ほっと『ひと呼吸』”に 能登北部呼吸器疾患センター センター長のささやき 第12話~第13話を掲載しました。
2025.7.25 “ほっと『ひと呼吸』”に「源氏物語とゆかりの植物④ 桔梗(キキョウ) 」を掲載しました。
2025.7.3 “ほっと『ひと呼吸』”に 能登北部呼吸器疾患センター センター長のささやき 第9話~第11話を掲載しました。
2025.6.10 “ほっと『ひと呼吸』”に 能登北部呼吸器疾患センター センター長のささやき 第5話~第8話を掲載しました。
2025.5.19 “ほっと『ひと呼吸』”に「源氏物語とゆかりの植物➂ 橘(タチバナ) 」を掲載しました。
2025.5.14 “ほっと『ひと呼吸』”に 能登北部呼吸器疾患センター センター長のささやき 第1話~第4話を掲載しました。
2025.2.15 “ほっと『ひと呼吸』”に「大和路の帯解駅」を掲載しました。
2025.1.27 “ほっと『ひと呼吸』”の「スケッチによる旅の思い出」に“広島城 春”と“岡山城”を追加掲載しました。
2025.1.8 “ほっと『ひと呼吸』”に「源氏物語とゆかりの植物② 松(マツ) 」を掲載しました。
2024.12.20 “ほっと『ひと呼吸』”に「能登は陸の孤島 ―昔も今もー」を掲載しました。
2024.9.14 “ほっと『ひと呼吸』”に「源氏物語とゆかりの植物①フジバカマ(藤袴)」を掲載しました。
2024.6.20 “ほっと『ひと呼吸』”に「源氏物語とゆかりの植物-序章-」を掲載しました。
2024.2.15 “ほっと『ひと呼吸』”に私の科学史Wanderings(その1)-序章-及び(その2)-お玉が池種痘所跡(東京大学・医学部発祥の地)-を掲載しました。
2024.1.11 “ほっと『ひと呼吸』”の「スケッチによる旅の思い出」に“木曾路 妻籠宿”を追加掲載しました。
2023.9.12 『呼吸』バックナンバーに、未公開だった『呼吸』サプルメントをPDF化して掲載公開しました。「テーマ」のプルダウンメニューから「サプルメント」、「Asthma club in Sendai」、「Airway Club in Sendai」、「脂質メデイエーター研究集会」、「気道過敏性研究会」、「Onon Forum in TOHOKU」などを選択して検索してください。
2023.6.25 “ほっと『ひと呼吸』”の「くつろぎの時間の風景」に“大島沖から見た富士山”を追加掲載しました。
2023.6.1 “ほっと『ひと呼吸』”の「スケッチによる旅の思い出」に“高知城”と“津城”を追加掲載しました。
2023.2.1 “ほっと『ひと呼吸』”に「松谷名誉園長が案内する京都府立植物園」の特別編「比叡山と京都府立植物園 とくに冬」を掲載しました。
2023.1.30 “ほっと『ひと呼吸』”の「スケッチによる旅の思い出」に“松本城”を追加掲載しました。
2022.11.7 “ほっと『ひと呼吸』”に「松谷名誉園長が案内する京都府立植物園」の新シリーズ“秋”の1回目「コダチダリア」を掲載しました。
2022.7.8 京都の祇園祭といえば、“ヒオウギの花”です。祇園祭とヒオウギについての解説を“ほっと『ひと呼吸』”の「松谷名誉園長が案内する京都府立植物園」に掲載しました。
2022.5.27 “ほっと『ひと呼吸』”に「松谷名誉園長が案内する京都府立植物園」の新シリーズ“梅雨時の花木”を掲載しました。
2022.5.19 “ほっと『ひと呼吸』”に「スケッチによる旅の思い出」を掲載公開しました。
2022.5.9 “ほっと『ひと呼吸』”の「くつろぎの時間の風景」に“「善福寺池」の上を泳ぐ鯉のぼり”を追加掲載しました。
2022.5.8 “ほっと『ひと呼吸』”に「あばた(痘痕)もえくぼ(靨) … ほうこ(奉公)さん …」を掲載公開しました。
2022.4.11 “ほっと『ひと呼吸』”の「くつろぎの時間の風景」に“井の頭池の春”を追加掲載しました。
2022.4.3 “ほっと『ひと呼吸』”の「松谷名誉園長が案内する京都府立植物園」に“キクザクラ(菊桜)”を追加掲載しました。      
2022.3.16 “ほっと『ひと呼吸』”に「松谷名誉園長が案内する京都府立植物園」を掲載公開しました。
2022.2.22 “ほっと『ひと呼吸』”に「ミリック-エミリ教授を偲んで」を掲載公開しました。
2022.2.18 “ほっと『ひと呼吸』”に「高尾山からみる富士山」を掲載公開しました。
2022.2.18 “ほっと『ひと呼吸』”の掲載を開始し公開しました。
2020.6.11 “今月の論文(『呼吸』バックナンバーより)”の掲載を開始します。
2020.4.1 本日より、本情報サイトの 管理・運営をインタージョイン株式会社が担当します。
2020.3.31 本日をもって一般社団法人 呼吸研究の法人組織を解散し活動を停止します。
2019.11.20 『呼吸』eレポート3巻2号を本日公開しました。
2019.5.20 『呼吸』eレポート3巻1号を本日公開しました。
2019.5.8 『呼吸』eレポート3巻1号を5/20月曜日に公開する予定です。
2018.11.21 『呼吸』eレポート2巻2号を本日公開しました。
2018.11.16 『呼吸』eレポート2巻2号を11/21水曜日に公開する予定です。
2018.9.25 『呼吸』バックナンバーをダウンロードするために現在ご使用されているユーザーIDとパスワードの有効期限は、本年12月末となっています。有効期間延長の手続きをお願いします。
2018.6.29 『呼吸』eレポート2巻1号に“解説 臨床”「臨床プロテオゲノミクスによる肺がんのプレシジョン医療」を追加公開しました。
2018.5.23 『呼吸』eレポート2巻1号を本日公開しました。
2018.5.19 『呼吸』eレポート2巻1号を5/23水曜日に公開する予定です。
2017.12.15 『呼吸』eレポート1巻2号に“総説”「新たな肺がん診断・治療戦略 ―PDTの可能性―」を追加公開しました。
2017.12.08 『呼吸』eレポート1巻2号に“解説 臨床”「日本人を対象としたCOPDスクリーニング質問票」を追加し、本日公開しました。
2017.11.29 『呼吸』eレポート1巻2号を本日公開しました。
2017.11.22 『呼吸』eレポート1巻2号を11/29水曜日に公開する予定です。
2017.11.06 『呼吸』eレポートのISSN登録手続きが完了しました。ISSN は、2433-5436となります。
2017.05.30 『呼吸』eレポート閲覧画面にズーム機能を追加しました。論文各ページの左上の虫眼鏡をクリックするごとに拡大率が変化します。
2017.05.24 『呼吸』eレポート創刊号を公開しました。
2016.02.22 事務所を移転します。現在の神田須田町から3月1日に、文京区本郷2丁目に移ります。引っ越し作業に伴い、メールが一時使用できません。また、電話も03-3257-6931から 03-5844-6530に変わります。
2015.12.16 『呼吸』Vol.34 No.12 が発刊されました。 12月号には、第43回箱根呼吸討論会記録がsupplementとして付いています。なお、『呼吸』はこれで休刊になります。
2015.11.17 12月15日発刊予定の『呼吸』Vol.34 No.12 で休刊になります。12月号には、第43回箱根呼吸討論会記録がsupplementとして付いています。
2015.11.16 『呼吸』Vol.34 No.11 が発刊されました。
2015.10.15 『呼吸』Vol.34 No.10 が発刊されました。
2015.10.02 『呼吸』はVol.34 No.12 で休刊となります。
2015.09.15 『呼吸』Vol.34 No.9 が発刊されました。
2015.08.17 『呼吸』Vol.34 No.8 が発刊されました。
2015.07.15 『呼吸』Vol.34 No.7 が発刊されました。
2015.06.15 『呼吸』Vol.34 No.6 が発刊されました。
6月号では、コロナウイルスの感染症 中東呼吸器症候群(MERS)について、「総説:いま、警戒すべき輸入ウイルス感染症」で解説されています。執筆は長崎大学熱帯医学研究所新興感染症学分野の 安田二朗先生です。
2015.06.03 『呼吸』Vol.34 No.6 が15日に発刊されます。長崎大学野の 安田二朗先生により中東呼吸器症候群(MERS)について、「総説:いま、警戒すべき輸入ウイルス感染症」で解説されています。
2015.05.15 『呼吸』Vol.34 No.5 発刊
2015.04.15 『呼吸』Vol.34 No.4 発刊

一般社団法人 呼吸研究解散のご案内
拝啓
 平素は一般社団法人 呼吸研究の活動に格別のご高配を賜り、厚く御礼申し上げます。 さて、一般社団法人 呼吸研究は本年3月に法人組織を解散し活動を停止することになりました。
 滝島任先生が初代編集委員長として、1982年9月に創刊された雑誌『呼吸』は、読者の皆様やご寄稿いただいた先生方など大変多くの方々からのお力添えを賜り、呼吸器学の月刊専門誌として、基礎から臨床にいたるまでの最新知見を読みやすい誌面でお伝えしていくことを目標に、刊行を続けてまいりました。その『呼吸』が諸般の事情により、2014年末に34巻12号で冊子体としての発行を休止いたしました。
 その後、『呼吸』編集委員会は、呼吸器関係の学術誌が限られた発行状況にあることを考慮して、『呼吸』バックナンバーのWeb上での閲覧を持続するとともに、電子図書『呼吸』eレポートの発行を行ってまいりました。
 しかし諸般の状況検討により、今後の活動継続は困難と判断し、法人解散の手続きを関係者の体力的に余力があるうちに実施することを編集委員会の総意として決定しました。
 法人解散後は、一般社団法人 呼吸研究が有していました『呼吸』等発行図書の著作権を公益財団法人 日本呼吸器財団に承継していただき、WEB上での “『呼吸』バックナンバー検索・閲覧システム”の維持運営と発行済『呼吸』eレポートの閲覧公開を継続することにしています。

 長きにわたり『呼吸』と一般社団法人 呼吸研究の活動にご支援賜りました皆様方には厚く御礼申し上げます。誠にありがとうございました。
 末筆ながら、皆様のご健康とご多幸をお祈り申し上げます。
敬具

2020年2月 
一般社団法人 呼吸研究
事務局 
ご案内
 旧一般社団法人呼吸研究に帰属していました『呼吸』等に関わる著作権は、2020年3月に一般社団法人呼吸研究が解散し、公益財団法人日本呼吸器財団に承継されていましたが、2024年4月から一般社団法人日本呼吸器学会に承継されることになりました。
 なお本サイトの管理、および本サイト上での“『呼吸』バックナンバー検索・閲覧システム” の維持運営はインタージョイン株式会社が行っています。
2024年4月 インタージョイン株式会社